
「歯が抜けたままでも、すぐに困らなければ放置しても大丈夫でしょうか?」
「見た目以外に何か問題がありますか?」
といったご質問をいただくことがあります。
患者さん
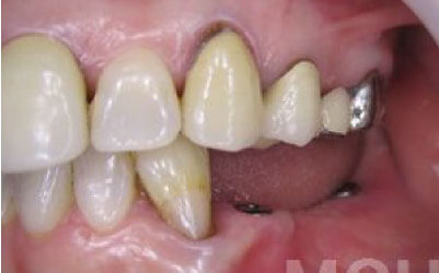
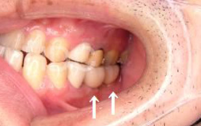
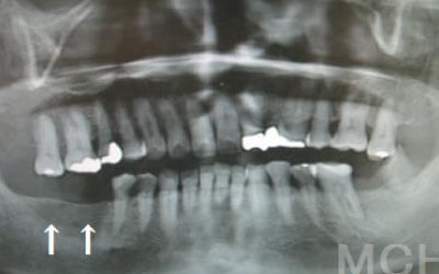
抜けた歯を放置していたら、周りの歯が動いてしまいました。どうすればよいですか?
Dr.武田
わずかなズレであれば、調整や詰め物などの処置で対処可能です。ただし、歯が大きく傾いてしまっている場合には、矯正治療や被せ物による修復が必要になることもあります。ズレが進行すると治療の選択肢が限られてくるため、できるだけ早めに診査・治療を受けることをおすすめします。
患者さん
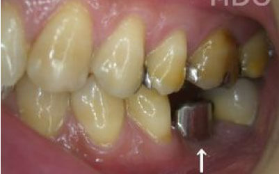
見えにくい場所なら、銀歯のブリッジとインプラントに大きな差はないのでしょうか?
Dr.丸尾
ブリッジとインプラントでは、支えとなる歯の寿命に大きな違いがあります。ブリッジは支えの歯を虫歯でなくても大きく削る必要があり、さらに噛む力が通常の約1.5倍かかるため、その歯の寿命が短くなってしまいます。実際の統計によると、ブリッジの支えとなる歯は10年以内に約68%が抜歯に至っています。
歯が抜けた後の治療には、
インプラント・ブリッジ・入れ歯の
3つがあります。
※左右にスクロールしてご覧ください
|
インプラント
|
ブリッジ
|
入れ歯
|
|
|---|---|---|---|
| 歯を削る | 削らない | 削る | 少しだけ削る |
| 周りの歯への 力の負担 |
負担をかけない | 非常に大きい | 大きい |
| 使用感 | 自分の歯に近い感覚 | 銀歯の場合は目立つ | 異物感を感じやすい |


私たちが噛むとき、歯には何十キロもの力がかかっています。そのため、歯の本数が減るほど、残った歯にかかる負担は大きくなります。ブリッジ治療の場合も、失った歯にかかっていた力を前後の健康な歯が支えることになります。その結果、残っている歯には、抜歯前よりも1.5倍から2倍ほど強い力がかかるのです。

入れ歯を使うと、バネをかけている歯や他の残っている歯に大きな負担がかかります。多くの人は無意識のうちに残った歯で噛んでしまうため、その歯が過度に使われて力がかかりすぎ、結果として歯が折れるなど、歯の寿命を縮めてしまいます。一方、インプラントは人工の歯根が直接骨に力を伝えるため、残っている歯への負担が格段に少なくなります。

ブリッジなどの治療では、支えとなる前後の歯を大きく削らなければなりません。場合によっては、虫歯でなくても歯の神経を抜くことがあり、神経を抜いて被せ物をすると、その歯は急速に寿命が短くなってしまいます。一方でインプラント治療は、前後の歯を削ったり神経を取ったりする必要がありません。健康な歯をできるだけ残すことは、歯の寿命を延ばすために非常に重要です。

入れ歯は毎食後に外して歯や入れ歯本体を洗う必要があり、バネが目立って見た目を気にする方も少なくありません。また、取り外し式のため、天然の歯のように使うには限界があります。
一方、インプラントは固定式なので取り外す手間がなく、日常の煩わしさが大幅に軽減されます。見た目も自然で、ほとんどの場合、周囲の人に気づかれることはありません。
インプラント治療について、ぜひ知っておいてほしいことがあります。
まず、インプラントは健康保険の対象外であることをご理解ください。
また、治療を始める前にはしっかりとした診査・診断が非常に重要です。
具体的には、さまざまな要素を総合的に評価して、より適した治療計画を立てていきます。

安全で長持ちするインプラント治療には、正確な検査が欠かせません。
10年、20年先も健康で快適な
お口の状態を目指していきます。
インプラントを成功させる
5つのPOINT
1
CLINICAL ORAL
IMPLANTOLOGY
メーカーが発行する認定と違い、
学会が指定する症例数や治療経過などの
基準を満たした上でテストをクリアした歯科医師のみに認定されます。
2
経験の違いは、治療の質の違いです
3

アストラテックやオステムなどのインプラントメーカーから表彰されております。
4

1人の歯科医師の視点でなく、複数のドクターでCTの診断や計画を立てています。
5
感染対策は徹底しており、ニュースで報じられているような
器具の使い回しは一切行っておりませんので、ご安心ください。
私たちは、インプラントだけでなく
残っている歯も大切にしています。
インプラント治療の
3つのリスクと対策

通常、インプラントの適正な
年間症例数は100~200件です。
当院はこれを超えないことを
大切にしています。
医療は単に工業製品を販売するのとは異なり、歯科医師が一人ひとりの患者様と真摯に向き合うことで成り立ちます。そのため、私たちは対応可能な範囲を超えた治療は行いません。
*横にスライド/スワイプしてご覧ください
当院のインプラント治療費は明確に設定されているのでご安心ください。

治療費で不安が無いように、全ての費用が含まれる明確な治療費(※)となっています。
患者さん
治療費のお支払いはいつになりますか?
Dr.西村
治療開始時に総額の半額をお支払いいただき、残りの半額は治療の後半でお支払いいただきます。
患者さん
費用を一括で支払うのが難しい場合は、どのようにすればよいでしょうか?
Dr.明石
治療費は2回に分けてお支払いいただけます。さらに多くの回数での分割払いをご希望の場合は、デンタルローンをご利用いただけます。デンタルローンはクレジットカードの分割払いよりも金利が低いため、分割払いをされる際はこちらの方がお得です。
スルガ銀行のデンタルローンが
ご利用いただけます。




「より良い治療を受けたいけれど、先生にお金の話をするのはちょっと気が引ける…」という方も、どうぞご安心ください!
クリニックを介さず、銀行と直接ローン契約ができます!
デンタルローンの申し込みはクリニックに相談する必要はありません。銀行の調査によると、デンタルローン利用者の約40% は自分で情報を調べて申し込んでいます。当院はローン契約に関わらないため、ローンの検討状況や審査結果、お借入れ額などが医院に知られることはありません。費用についてご相談いただいた際には、デンタルローンのパンフレットをお渡ししています。
「デンタルローン」なら、
一般的なクレジットカードの
リボ払いや分割払いより低金利だから返済総額や
月々の返済額が抑えられる!
患者さん
医療費控除は使えますか?
Dr.齋藤
医療費控除を利用することができるため、実質的には割引のような効果があります。戻ってくる金額は所得税率や他の医療費の合計額によって異なりますが、インプラント費用の約30%が医療費控除として還付される場合があります。詳しくは医療費控除の案内チラシをご覧ください。

インプラント治療では、安心・安全を最優先に考え、患者様には長くご使用いただけることを目指しています。
しかし、万が一のトラブルに備えて、安心の保証制度をご用意しています。
これにより、より一層ご安心いただける仕組みを整えています。

※当法人では2種類のインプラントを部位によって使い分けております。
インプラント本体は5年間、100%クリニック負担にて保証。
その後、6年⽬より段階的にクリニック負担割合は減りながら、10年間の保証。
上部構造物は3年間、100%クリニック負担にて保証。


定期的なメンテナンスを受けていても、インプラントにトラブルが発生した場合、使用期間に応じて修理や再製作の費用をクリニックが負担いたします。その後も引き続きメンテナンスを続けていただくことで、長期間安心してお使いいただけます。

インプラントだけの安いインプラント
専門の医院で受診する場合には
注意してほしいことが3つあります。
医院選びのポイント01
医院選びのポイント02
医院選びのポイント03




Dr.加藤
「激しい運動や飲酒は、3日程度控えてください。
お風呂は1~2日間はシャワー程度にとどめてください。
日常生活において特別な制限はありません。

Dr.與那城
基本的には、成人であれば誰でも治療を受けることができます。
ただし、重い全身疾患がある場合などは、担当医に相談することをお勧めします。

Dr.大野
奥歯1~2本の手術であれば、体を酷使する仕事でなければ、翌日からの勤務は問題ありません。
手術当日でも、デスクワークならば仕事を続けている方も多いです。

Dr.齋藤
麻酔を施すので、痛みは全くありませんのでご安心ください。

Dr.平岡
天然歯と同じように、3ヶ月に1回のメンテナンスが推奨されています。
定期的なメンテナンスで、インプラントと残っている歯を長持ちさせましょう。

Dr.加藤
歯科の統計データをご紹介します。
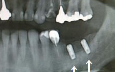
インプラントは10年後に90~95%の確率で残っているのに対し、ブリッジは10年後に30~35%の確率で残っています。
ブリッジがダメになる場合、ほとんどは支えとなっている歯が悪化し、抜歯が必要になることが多いです。

Dr.與那城
状態にもよりますが、おおよそ2~3ヶ月程度が目安です。
ただし、毎週通院する必要はありません。
インプラント治療の前に骨を増やす処置が必要な場合は、さらに約3ヶ月ほど追加で時間がかかることがあります。

Dr.大野
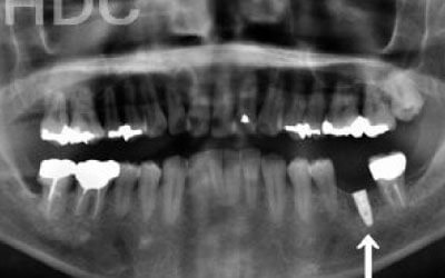
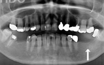
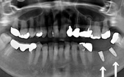
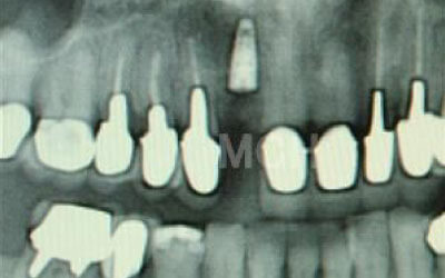
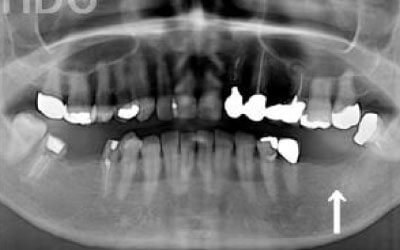
CTを使うことで、骨や歯の状態を3Dで確認でき、正確な距離測定も行えます。
骨の厚さや傾き、神経の位置などを事前にしっかりと計測することで、安全にインプラント治療を行うことができます。

Dr.齋藤
医療費控除を利用することができるため、実質的に割引を受けるような形になります。
所得税率や医療費の総額によって異なりますが、インプラント費用の20~30%程度が医療費控除で還付されることがあります。
※詳しくは医療費控除の詳細チラシをご覧下さい。

Dr.平岡
治療費は、2回に分けてお支払いいただけます。
さらに、もっと多くの回数で分割払いをご希望の場合は、デンタルローンをご利用いただけます。
クレジットカードの分割払いよりも金利が低いため、分割払いを選ばれる場合は、デンタルローンの方がよりお得です。
詳細については、デンタルローンを提供している銀行のサイトをご覧ください。
詳しくは、デンタルローンの銀行サイトをお読みください。
https://www.surugabank.co.jp/reserved/landing/dentalplus/

Dr.加藤
治療開始時に総額の半分をお支払いいただき、残りの半分は治療の後半でお支払いいただく形になります。

Dr.與那城
歯周病の進行具合によりますが、インプラント治療は可能です。
ただし、まずは歯周病の検査を行い、治療を先にしっかりと行うことが必要です。
また、噛み合わせの調整や治療後の定期的なメンテナンスを行い、インプラントを長持ちさせることも重要です。

Dr.大野
大きく3つポイントがあります。
1 料金の落とし穴
「ホームページで安価なインプラント料金を掲示していても、実際に受診すると「○○さんの状態だとこのインプラントは適用できません」と言われ、結果的に高額な治療を勧められることがあります。
そのため、インプラント専門医院を選ぶ際は、かかりつけの歯科医から紹介を受けた医院を選ぶことをお勧めします。
2 メンテナンスに通えるか?
インプラント治療は、単にインプラントを入れるだけではなく、その後どれだけ長く維持できるかが重要です。
そのためには、定期的なメンテナンスが大切です。
ただし、インプラント専門医院では、インプラントのメンテナンスだけのためにその医院に通い続けることになり、治療後にも時間や労力がかかります。
もしメンテナンスに通わなくなると、保証がなくなってしまうことが多いので、治療後にメンテナンスを続けやすい医院を選ぶことがポイントです。
3 責任が曖昧で保証してくれないことも
インプラント専門のクリニックでは、メンテナンスを行わず、代わりに地元のかかりつけ歯科医でのメンテナンスを推奨されることがあります。
もし何も問題が起きなければ問題ありませんが、歯周病や噛み合わせの影響でインプラントに不具合が生じた場合、責任の所在が曖昧になり、インプラントの保証が適用されないこともあるため、十分に注意が必要です。
お口の健康はさまざまな要因が複雑に絡み合っているため、治療やメンテナンスをしっかりと行ってくれる医院で受けることが重要です。
また、インプラント専門のクリニックに行く場合でも、かかりつけの歯科医からの紹介を受ける方が安全です。
お体のことですので、工業製品のように「壊れたから新しいものに交換」といった簡単なことはできません。
そのため、将来的なことをしっかり考えた上で、慎重に決断を下すことが非常に大切です。

Dr.齋藤
基本的には、虫歯や歯周病の治療も行っている医院が良いです。
その理由は、インプラント治療は単に抜けた部分にインプラントを入れるだけではなく、残っている歯の歯周病や噛み合わせの問題も含めた治療計画が必要だからです。
ですので、虫歯や歯周病、噛み合わせ、メンテナンスなど、全体的に診てくれるかかりつけの歯科医院で治療を受けることをお勧めします。
もしかかりつけの歯科医院でインプラント治療が行われていない場合は、紹介されたインプラント専門の医院で治療を受けるのが良いでしょう。

Dr.平岡
お口の状態や噛み合わせによって異なるため一概には言えませんが、一般的には奥歯が適しています。
特に、大臼歯(最も奥の歯)とその隣の歯がある部分です。
噛み合わせの力の60%以上がこの2本の歯で支えられているため、ここをインプラントでしっかり治療することは非常にお勧めです。

Dr.加藤
残っている歯にとっては、非常に不利な治療法です。
その理由は、ブリッジを作るために前後の歯をかなり削る必要があるからです。
場合によっては、神経を取らなければならないこともあります。それだけ歯に大きな負担がかかり、その歯の寿命が大幅に短くなります。
もし数年後にインプラントを考えているのであれば、ブリッジ治療をする前にインプラントを選んだ方が、断然良い選択です。

Dr.與那城
骨が薄い場合、そのままインプラントを行うのはお勧めできません。
ただし、事前に骨を増やす治療を行ったり、インプラントと同時に骨を増やす治療を施したりすることで、インプラントは可能です。

Dr.大野
インプラント治療でのリスクは3つあります。
1 インプラントと骨が結合しないリスク
「工業製品とは異なり、人間の体は様々な反応を示すため、100人に1人程度の確率でトラブルが起こることがあります。ただし、その場合でもインプラントのメーカーを変更することで、ほとんどの場合問題なく結合するのでご安心ください。
2 神経を傷つけるリスク
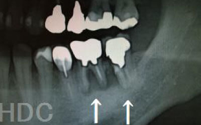
インプラント治療では、顎の骨内に通っている神経を傷つけるリスクがあります。
しかし、事前にCTを撮影し、三次元的に神経までの距離を計測して治療計画を立てれば、心配することはありません。
また、過剰に削らないようにストッパーも使用しているため、安全に治療が進められます。
3 歯周病でインプラントが抜けるリスク
細菌(歯垢)によって、インプラントを支える歯茎や骨が徐々に減少することがあります。
ですので、インプラント治療だけでなく、残っている歯の歯周病のチェックや治療も非常に重要です。

Dr.齋藤
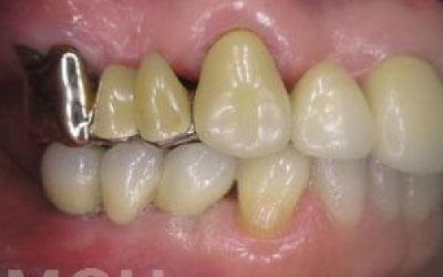
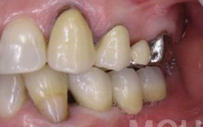
インプラントの大きな利点は、入れ歯のように取り外す必要がなく、ご自身の歯のように自然に噛める点です。
そして、最も大きなメリットは、周囲の歯の寿命を守ることができることです。
ブリッジや入れ歯の場合、他の歯に負担がかかり、歯が連鎖的に抜けていくことがあります。
しかし、インプラントは周りの歯に一切負担をかけず、残っている歯にとって最も優しい治療法です。

Dr.平岡
最も大きな違いは、前後の歯の寿命が変わることです。
ブリッジは、抜けた部分の前後の歯を大きな虫歯と同じくらい削る必要があります。
さらに、抜けた歯の力を前後の歯が負担するため、ブリッジを支える歯には常に1.5倍の力がかかります。
1)ブリッジ
2)歯を大きく削る+支えの歯に1.5倍の力がかかる
3)前後の歯の寿命が著しく減る
ブリッジの支えの歯は、データでは10年以内に68%が抜歯になります。

Dr.加藤
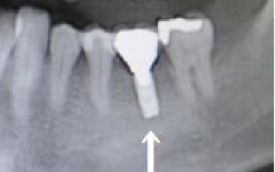
少しの位置ズレであれば、噛み合わせを調整したり、小さな詰め物で対処することができます。
しかし抜けてから数年が経ち、大きく傾いてしまった歯の場合は、歯並びを矯正するか、歯を大きく削ってかぶせ物をする必要があります。

Dr.與那城
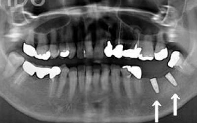
しばらくすると、抜けたままでも慣れてしまうことがありますが、その後に大きな問題が生じることがあります。
1 周囲の歯が早く抜ける
抜けた歯にかかるはずだった噛む力が、知らず知らずのうちに他の歯に負担をかけてしまいます。その結果、残っている歯が突然折れてしまい、抜歯が必要になることがよくあります。
2 歯が傾いてくる、落ちてくる
歯は互いに支え合い、バランスを保っています。そのため、歯が抜けると支えがなくなり、抜けた部分の両隣の歯が傾いたり、上の歯が下に移動してきたりすることがあります。

Dr.大野
歯が抜けた後の治療について、多くの方が悩まれています。
特に、抜けたのが前歯ですとなおさら気になりますよね。
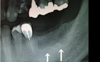
今回のご質問ですが、抜けた部分の骨が薄いなどの理由で「インプラントはできない」と言われた可能性があります。
前歯はもともと骨が薄く、歯が抜けると時間の経過とともにさらに骨が痩せてきてしまうので、インプラント治療の難易度が高い場所です。
ただ結論からお話すると、インプラント治療は可能です。
なぜなら、もし仮に骨が薄くても、骨の治療によって厚みが増せば、安全にインプラント治療が行えるからです。
なお、前歯のインプラント治療をご希望の方には、注意していただきたい点が4つほどあります。
1)インプラント治療を行う前に、骨の治療が必要かもしれません。
2)骨の治療から始めると、その分、治療期間が長くなります。
3)骨の治療は、通常のインプラント治療よりも難易度が高いため、経験の豊富な先生やインプラント認定医のいる歯科医院で治療を受けることをお勧めします。
4)骨の状況をしっかり把握するためにも、CT撮影が必須となります。
また、インプラント治療においては、周囲の歯の状況や咬み合わせの問題などもしっかりと考えて治療するのがとても大切です。
そのため、残っている歯についてもきちんと診査してくれるクリニックが良いでしょう。
インプラント治療には、「インプラントを入れたら終了」というイメージがありますが、治療後、どれだけ長くインプラントがもつのかが最も大切なことなので、しっかりとメンテナンスしてもらえる歯科医院を選んでください。
まずは、いくつかの歯科医院でインプラントの相談をして比較検討し、ご自身が良いと感じた先生のところで治療を受けることをお勧めいたします。
長くもつ
インプラントを
したい
残っている歯も
守りたい
認定医による
安心の治療の
提供
インプラント
だけの治療は
したくない
より良い関係性で
長くお口の健康を
守りたい
インプラント治療を受ける際は、信頼できる医院を選び、自分により適した治療計画を見つけることが重要です。
お体は一生お付き合いするものですから、焦らず慎重に判断してください。
私たちは、丁寧な説明としっかりとしたサポートを提供し、安心して治療に臨める環境を整えています。
まずはお気軽にご相談ください。
ご相談いただくだけで
得られるメリット
MERIT 01
MERIT 02
MERIT 03
MERIT 04
MERIT 05
お急ぎの場合は、お気軽に
お電話ください!